Porcelain Fused to Metal
Still a staple, predictable and aesthetic. We use a noble alloy that is strong to accommodate cases with multiple pontics. We use Creation porcelain for superior color and translucency. Add a porcelain butt margin and you have a restoration that rivals all ceramic.
Implants
Whatever you need. Hows that? With over 60,000 implant fixtures restored we have done just about any case you can imagine. Screw retained or cemented, singles or arches, we love this stuff! Hand milled custom abutments and cad-cam are an everyday thing for us. We prep stock abutments really well too. Half of our clients use us just for implant restorations. They know that it will be done well, on time and aesthetic. Try us once and see how predictable and natural looking an implant restoration can be.
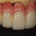
Veneers
Sometimes the right restoration for the patient is a veneer. Prepped or no-prep, Emax or feldspathic, we will do what it takes to make your patient whole. We are happy to work with you to treatment plan a restoration or mix of restorations to achieve the vision of you and your patient.
Indirect composite
For those of you that prefer an indirect composite restoration we offer Premise Indirect (formerly Belle Glass) . It is a heat, pressure and light cured resin that has optical properties that really make it disappear in the mouth. With a full range of shades and the ability to repair or add in the mouth it is one of the most user friendly materials there is.
Fixed Hybrid & Removable Dentures
We love to do denture cases on implants. We have been designing and milling bars since implants were introduced to this country. Trained in German milling techniques, milled bars are one of the most fun things we get to do. Every patient is different. Each one has dexterity and functional idiosyncrocies that require design sophistication. That is what we do. From simple hader bars to complex multiple attachment bars we can do it. Cad-Cam technology does have some design limits and when your case has design challenges that are beyond the capabilities of Cad, we can mill our own bars that are every bit as stunning as Cad. We are happy to send you pictures of cases we have restored with our own milled bars, you will see what we mean by design limits on Cad.
Lithium Disilicate – Emax
The rising star of the dental world. This is a material that is strong enough for most restorations with the optical properties to overcome some tough restorative challenges. We press Emax rather than mill, it gives us a superior fit and maximum strength. You can request this material either monolithic or layered. Monolithic is an affordable option for most posterior restorations where aesthetic anterior restorations are usually layered. With a range of translucencies it can even be used over metal abutments, post and cores and discolored roots. It also makes a beautiful inlay!
Zirconia
With the amount of effort and time that goes into a restoration the last thing we want is for it to break or delaminate. Not all zirconia is the same! We only use certified name brand zirconia. We will use any zirconia the client requests as long as we can verify that it is the genuine article with certification stickers. Most of the time we are using Lava and Wieland Zeno for frameworks and full zirconia restorations. This is so that we can be sure that we are not receiving any after-market and inferior zirconia.
Gold
Full crowns, inlays and onlays. It is a shame the price of gold is so high because these are still the longest lasting restorations available. We do our best to shop around for lower priced alloys that still have the physical properties and color that we all love. Inlays and onlays are still reasonably priced and we do our best to keep full crowns within reach because it is such a great restoration.
Non Restoration Services
Need help setting up a camera? Troubleshooting some shade issues? Maybe you are putting together a presentation and could use some input. Feel free to call or email and we would be happy to give you a hand. We also do a fair amount of education, both hands on and lecture format. If you are looking for a speaker for your study group we may be able to help. I speak on a number of topics and would be happy to discuss a custom program to fit exactly what your members are asking for.



















